虚血性心疾患(狭心症・心筋梗塞)
虚血性心疾患とは
虚血性心疾患とは、心臓に酸素や栄養を送り込む働きをしている冠動脈が細くなったり詰まったりすることで、心臓の血の巡りが悪くなる病気の総称です。原因のほとんどは動脈硬化で、それを引き起こし悪化させる因子として、高血圧、糖尿病、高脂血症、喫煙、肥満などが上げられます。
遺伝する疾患ではありませんが、生活習慣を同じくするためご家族やご両親がこの疾患にかかっている(家族歴がある)場合は、発症するリスクが高いことが知られています。
症状
|
心臓の筋肉が血流不足になると痛みを感じます。症状は胸や肩、首などに重苦しい痛み、圧迫感、締め付けられるような苦しさ、押されるような鈍い痛みなどと表現されます。病気の初期は、安静時よりも心臓が激しく活動する運動時に症状が出現し、安静にすると速やかに症状が改善するのが特徴です。胸が締め付けられる痛みが繰り返される状態を狭心症といいます。
心臓の血流不足が度を超すと急激に心筋の壊死が始まります。これを心筋梗塞と呼び、生命に関わる重篤な状態で一刻も早く治療が必要となります。 狭心症の症状で注意が必要なのは、自覚症状と病気の重症度が必ずしも一致しないこと、糖尿病をお持ちの方では胸痛が出現しづらいことが挙げられます。 |
![]() |
診断に必要な検査
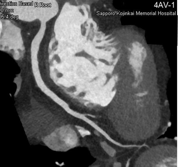
- コロナリーCT検査:外来で行うことができ、心臓を栄養している血管(冠動脈)の病変部位を検索する手段として最も簡便な方法です。造影剤を腕の血管から注入しながらCT検査を行います。
所要時間は10分程度です。(写真はコロナリーCT検査によって得られた画像)

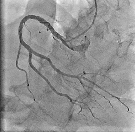
- 心臓カテーテル検査:手首や足の付け根に局所麻酔を行い、カテーテルという細いチューブを動脈の中に挿入し、透視下に冠動脈を直接造影する検査です。病気の程度を正確に診断し、適切な治療法を決定するのに有用な検査です。入院して検査を行います。所要時間は30分程度です。
(写真は心臓カテーテル検査によって得られた画像)

治療
- 薬物療法:冠動脈や末梢血管を拡張させ胸痛発作を抑える硝酸薬、心拍数や血圧を下げることで心臓の負担を軽くするβ遮断薬、血栓形成を防ぎ、心筋梗塞を予防する抗血小板薬などが使用されます。薬物療法は生活習慣改善(禁煙、肥満解消、高血圧、糖尿病、脂質代謝異常の管理)と組み合わせて行うことがより重要です。
- カテーテルによる冠動脈形成術(PCI):手首や足の付け根に局所麻酔を行い、カテーテルを直接冠動脈に挿入し、冠動脈の細くなったところや詰まってしまったところを風船で広げる治療です。再発しないようにステント(金属製の網でできた筒)を留置します。循環器内科が行います。
- 冠動脈バイパス術:冠動脈の細いところや詰まったところを迂回する新しいバイパスを作り、心臓の血流を改善する治療法です。心臓血管外科が行います。
以前は心臓を一時的に停止させて行っていた手術も、近年は心臓を動かしたまま行う心拍動下冠動脈バイパス術(OPCAB)が主流となり、当院ではさらに体の負担が少ない手術として、胸骨を切らずに小さな傷で複数のバイパスを行うMICS-OPCABを症例に合わせて行っています。




