急性大動脈解離
急性大動脈解離とは
|
血液が流れる大動脈の壁は内膜、中膜、外膜の3層構造でできています。大動脈解離とは大動脈壁が中膜のレベルで裂けて、内膜と外膜の2層に剥離することをいいます。
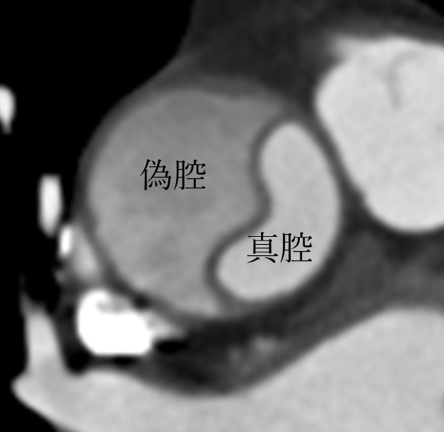
前触れもなく突然発症し、いままで経験したことのない胸痛、背部痛、腰部痛を自覚し、失神する場合もあります。大動脈が解離すると血管内が真腔と偽腔の二つの腔に分かれ(図右)、血管が弱くなって破裂したり、血液の流れが妨げられたりします。
|
![]() |
![]() |
原因
高血圧や動脈硬化、外傷、生まれつき血管が解離しやすい(遺伝)などがあります。遺伝性の場合は比較的若年で発症することや、家族に解離を発症しているひとがいるなどの特徴があります。
分類
大動脈解離は解離が及ぶ範囲の違いでA型とB型に分類されます。これをスタンフォード分類といいます。
- A型解離:上行大動脈に解離が及ぶもの
![]() |
![]() |
![]() |
- B型解離:上行大動脈に解離がないもの
![]() |
![]() |
![]() |
予後と治療法
A型解離は無治療では発症してから48時間以内に50%以上、2週間以内に90%以上の人が破裂やそのほかの致死的な合併症により死亡するため、診断がつき次第緊急手術を行います。
B型解離は発症から4週間で10%弱の人が破裂や致死的な合併症で死亡するものの、その時期を乗り切れば比較的病状が安定するため、急性期(発症から2週間の間)の治療は安静にして血圧を下げる治療を行います。もちろん経過中に致命的な合併症の兆候が見られた場合は手術を行うこともあります。
診断に必要な検査
- 造影CT検査
~A型解離、B型解離の診断や、合併症の有無を診断できる最も確実な方法です。
- 超音波(エコー)検査
~心臓に起こる合併症を診断するのに有用です。ベッドサイドで簡便に繰り返しできることが利点です。











