ステントグラフト後の合併症とその治療
腹部大動脈瘤に対するステントグラフト治療(以下EVAR)は、手術の負担が少ないという利点から、現在では広く行われるようになりました。しかしその一方で、頻度は少ないもののEVAR後に発生する新たな合併症も問題となっています。ここでは腹部大動脈瘤に対するEVAR治療後に発生する合併症と、その治療について説明します。- ステントグラフトを挿入したのに腹部大動脈瘤が拡大する
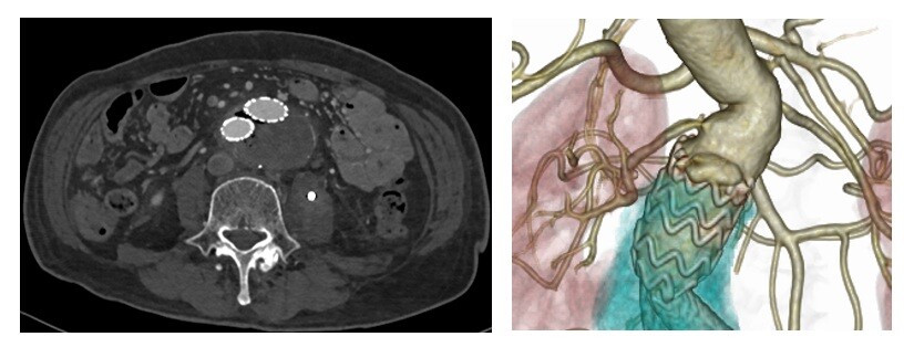
ほとんどはエンドリークが原因です。エンドリークとは、ステントグラフトでカバーした動脈瘤の中に、血液が流れ込む現象です。血液が流入しても、それがわずかな場合は問題ありませんが、その種類や程度によっては、瘤の拡大や破裂の原因になります。手術後しばらく経過してから新たに出現する場合もあります。
エンドリークの種類は以下のものがあります。

(エンドリークの種類)
タイプⅠ:動脈壁とステントグラフトの圧着部からの血液の漏れ
タイプⅡ:大動脈瘤から出ている血管からの血液の逆流
タイプⅢ:ステントグラフトの重なり部や損傷部からの血流のもれ
タイプⅣ:ステントグラフトのグラフト部分(人工繊維でできている布の部分)からの血液の染み出し
タイプⅠとタイプⅢは破裂リスクが高いエンドリークで、治療が必要です。
タイプⅡは破裂のリスクが少ないといわれていますが、瘤拡大や破裂の事例が最近報告されるようになってきました。
タイプⅣは留置直後に見られるエンドリークで、術後拡大の原因となることはほとんどありません。
造影CTやエコー検査で、エンドリークの有無やそのタイプを診断します。
(瘤が拡大したときの治療)
まずエンドリークの有無を検査します。
エンドリークがあれば、血管内治療やステントグラフト治療によってエンドリークをなくす治療を行います。
エンドリークの場所や種類によってカテーテルやステントグラフトで治療できない場合、また、原因がわからず拡大し続ける大動脈瘤に対しては、人工血管置換術を行います。
(EVAR後の人工血管置換術)
EVAR後に人工血管置換術を行うことは十分可能です。
写真はステントグラフト術後5年でタイプⅠエンドリークが出現し、瘤が拡大したため人工血管置換術を行った症例です。ステントグラフトを部分切除して、拡大した動脈瘤を切し、人工血管に置換しました。

術前 術後 - 出血しやすい。出血したらとまりづらい。
気づかないうちに皮下出血があちこちにできていることもあります。動脈瘤の患者様の約4%に認められ、ステントグラフト挿入後に発症する場合もあります。消化管出血や脳出血など重篤な出血の原因になることがあります。
(治療)
凝固能異常(血が固まりづらい状態)は様々な原因で起こるため、血液検査などでその原因を診断し、薬による治療を行います。
エンドリークが原因の場合もあり、エンドリークを治療する血管内治療や追加ステントグラフトが凝固能異常に効果的な場合があります。
動脈瘤による凝固能異常は医師の間でも認知度が低く、病院に通院していても見過ごされる場合がほとんどです。気づかないうちに皮下出血ができる、採血した針穴からの出血が止まりづらいなどの症状があり、動脈瘤と診断されたり、その治療を行ったご経験のある患者様は一度ご相談ください。



